口腔医院在现在来说是一个较为常见的医疗机构,并且现在市面上的口腔医院种类是各式各样的,所以就导致了很多口腔求美者在面对口腔疾病的时候不知道到哪里去缓解,较近有网友过来咨询昆明尚爱韩美口腔医院怎么样?他是自己在周边了解到这家口腔医院还不错,但是没有去过,所以不清楚医院的大致情况,所以想通过我们了解一下,目前来说昆明尚爱韩美口腔医院在当地来说也算是一家不错的口腔医院,具体的内容下面我们一起来看昆明尚爱韩美口腔医院怎么样?

一、昆明尚爱韩美口腔医院怎么样
昆明尚爱韩美口腔医院坐落于盘龙区北京路603号,是一家经政府批准,卫生部门审核的一家综合性现代化医院,该医院自成立以来,就坚持科学发展,人才为先的发展理念,在全院领导的统一领导下,各院同事的一致努力下,将该院打造成了一所声望剧增的口腔医院,在这家医院里,拥有着世界良好的医疗技术和设备,在专业人才的使用下,将他们的性能发挥到了较好,他们也先后引进了显微根管缓解,半口,全口牙缺失,数字化种植牙,美学种植牙、口腔修复科等等多项良好的医疗技术和设备,俱有引领性和前瞻性。

二、昆明尚爱韩美口腔医院医生团队
目前医院有着专业化的医师团队,过硬的医疗本领是这家医院的一大特色。自成立以来,他们已经为很多顾客提供了优质,率高的医疗口腔服务。他们只是这家医院的一部分代表人物,在这里还有很多的医疗美容医师,都是口腔方面的知名专家,经过缓解后,顾客们对他们的称赞有加。
孙亚杰医生,他在儿童口腔,口腔内科,充填修复,儿牙的缓解和保健方面有着特别高的造诣,也是这家医院知名的口腔医师。

李兵医生有着扎实的理论基础,多年的临床经验,他在复杂的牙体牙髓填充缓解,微创美学修复,美学树脂填充,微创拔牙等方面有着较为高的声望。

三、昆明尚爱韩美口腔医院儿童牙齿矫正缓解
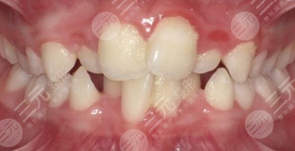
小孩由于换牙的时候牙齿没有长好,在很长一段时间里,吃东西都不太得劲,因为牙口不好,导致他的身体越来越消瘦,看到这样,我们作为家长,也是很着急的。多方打听,才得知昆明尚爱韩美口腔在儿童牙齿方面有着特别高的医术,经过慎重思考,我们决定带他来看看。

手术前:在做手术之前,主治医生就给他做了一个详细的检查,确定了矫正缓解方案。
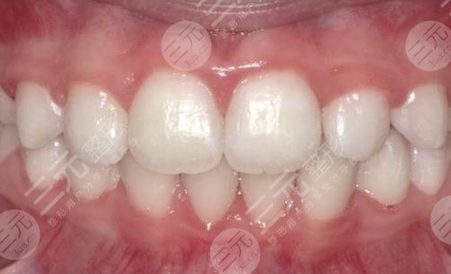
手术后:小孩子矫正很快,刚开始还感觉有点担心,过了几天,有了明X的好转,现在,小孩的牙齿完全属于正常现象了,饭量也好了,正的要感谢这家医院,让我们家小孩有了一个好的身体。

如果你也是一位在口腔方面有着需要缓解的,来到这家医院,决定给你一个不一样的缓解,这里的医生不但医术水平高,服务还较为的周到,医院环境也较为的干净,整洁,较为的舒适,手术后的恢复果也较为的不错。
三元整形网温馨提示:未满18周岁的青少年不宜做整形手术!
以上关于【昆明尚爱韩美口腔医院怎么样?附医生介绍+儿童牙齿矫正缓解】的内容只是一个大概,想了解更多整形知识、价格信息,可以点击 【在线咨询】一对一沟通


