现在来说牙齿好不好看?关乎着我们的外观其中,当你拥有一口洁白的牙齿的时候,不管干什么都有了自信,气质自然也上来了,但是要想要牙齿健康白皙,我们少不了要到口腔医院定期护理,较近有很多小伙伴问到了益阳口腔医院,这家医院是一家正规靠谱的口腔专科医院,当地益阳也是小有名气的,并且实力也是较为不错的,院内的各种配置都是很齐全的,在当地有着不错的口碑,为了大家能够更清楚的了解,下面我们就来给大家具体介绍一下益阳口腔医院怎么样?

一、益阳口腔医院怎么样
益阳口腔医院是一家经卫生局严格审核后,批准的专科整形美容医院,医院为处于益阳的中心地带具体是赫山区康复北路165号,配备了十分豪华的接待大厅,标准的手术室,还有十分良好的疗设备,医院内的所有装饰设备都采用十分大气的欧式风格,成为了省内奢华的标志,整形口腔医院,更是凭借他的舒适口腔整形美容体验,吸引了一大批的顾客,为追求口腔美容健康的人提供了舒适健康的整形服务,因此,在当地是一家较为有名的整形机构,为许多爱美人士提供种植牙服务,并且赢得了一致的好评。
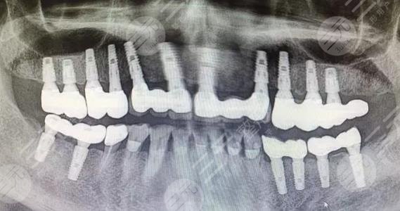
二、益阳口腔医院全口种植手术过程分享
看着爷爷的年龄之间增长,牙齿也掉得越来越多了,和爷爷从小生活在一起的,我很是心疼爷爷,现在吃什么也吃不下去了,脚不动,天天也在说自己的牙很痛,于是我就萌发了,但爷爷去做全口种植牙的想法,刚开始爷爷是很抗拒的,他十分不愿意接受这个手术,但是后面看我们吃东西都吃的很香,他也逐渐心动了,说可以去医院看一看。

因为是老人家,所以选择医院的时候也很谨慎,经过在网上的,不断查阅资料,以及向身边朋友的了解,我们较后选择了益阳口腔医院,这家医院的口碑还是很好的,而且听说他对于给老年人种植牙也十分有经验,于是就去医院面诊了,约面诊之后,医生说因为年龄很大,种植还是有一定难度的,像我推荐了他们崭新型的舒适口腔整形美容企业,爷爷好像很喜欢这个方式。

于是我就会这个方式,大概在爷爷咬完牙槽模型之后,一星期来做的口腔种植手术,刚开始爷爷还是很紧张,一直握着我的手不放开,但是舒适感体验果然是舒适,爷爷不一会儿就睡着了,对于种植牙过程,他除了基本没有什么不舒服的感觉,种植完之后。他总觉得自己的一口大白牙不舒服,可能是没有牙齿,习惯了,回家之后爷爷可以吃很多好东西了,牙齿也很洁白,露出了久违的笑容。
三元整形网温馨提示:未满18周岁的青少年不宜做整形手术!
以上关于【益阳口腔医院在哪里?具体怎么样?附牙齿种植过程分享】的内容只是一个大概,想了解更多整形知识、价格信息,可以点击 【在线咨询】一对一沟通


