自体脂肪移植是一种日益流行的手术方法,在美容领域及其他领域有着广泛的应用。自体脂肪移植潜在的风险包括常见的并发症,如脂肪坏死, 血清瘤形成和蜂窝织炎。更严重的并发症也有报道,包括危及生命的感染。

美国整形外科医生协会较近发布了一项警告,认为臀脂移植是死亡率较高的美容手术(每3000例手术中就有1例)。历史上,曾经出现过使用硅酮注射来增大臀肌,导致了大量的肉芽肿异物样反应的病例。
今天我们要看一例自体脂肪移植隆臀出现肉芽肿反应的求美者,嗯,这个求美者的屁屁,烂了……

求美者介绍
46岁白人女性求美者,2017年7月在一家一例机构接受了自体脂肪移植隆臀手术。采用封闭系统和无菌技术等方法,将约500 mL.脂肪组织从大腿移植到臀部(单侧注射500mL)。2017年9月,求美者臀部出现红斑、嫩结节,引流明X(见下图)。浅表皮肤细菌培养引流病灶,结果显示阴性。当时求美者连续2周口服环丙沙星,果甚微。

图1. 这张照片是求美者在术后2个月在手机上拍摄的。臀部多个红斑至紫红色结壳结节。
2017年11月
2017年11月求美者双侧臀部中区出现凹陷的、几何状棕紫色的斑块(见下图)。检查还发现左侧臀部中突出轻微白色角化物区域。求美者说,在过去的两个月里,她的病情一直在缓慢改良,但她仍然感到明X的不适。
详细查体发现,在这段时间里,她经历了疲劳和腿部肿胀。她的病史抗核抗体(价1:640)阳性;然而,额外的自身免疫检查和评估由风湿病学部门没有作出诊断系统性红斑狼疮或其他自身免疫状况。这种实验室异常并不是导致她出现皮肤疾病的原因。

图2. 求美者左边臀部术后4个月,多呈紫褐色凹陷、软斑、黄斑。中心病变,挤压白色角化物,以获得皮肤活检。

图3. 求美者右臀部术后4个月,显示黄斑部紫褐色凹陷疤痕,中心白色角化物。
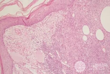
第一次活检在结果显示疤痕和慢性肉芽肿性炎症组织细胞巨细胞,淋巴细胞, 浆细胞, 中性粒细胞,和嗜酸性粒细胞在货源优质和皮下(见图4)。没有证据表明脂肪坏死组织学检查。周期性酸-希夫,耐酸杆菌,和革兰氏染色是阴性的,使得真菌、分枝杆菌和细菌的病因不太可能。另外一次4毫米穿孔的皮肤活检组织培养,显示凝固酶阴性葡萄球菌真菌和耐酸杆菌阴性。

图4. 货源优质有发炎的地方,有组织细胞巨细胞,淋巴细胞,。(苏木精-伊红染色;原放大倍数:×40.)
2018年5月
2018年5月的一次随访中,求美者右侧臀部外侧有一个嫩的红斑结节。这个病变用0.4mL曲安奈德(5 mg/mL注射液)注射缓解。求美者报告说注射后几天有了很大的改良。
2018年夏末
2018年夏末,求美者随后在同一外部设施接受了一次额外的自体脂肪转移手术,试图纠正较初手术造成的凹陷。这个手术并没有产生求美者想要的美容果。到目前为止,她还没有出现任何新的炎症性病变。

可能的发生机制
脂肪肉芽肿可能是异物反应由于身体无法在组织中代谢外源性脂类物质而产生的脂类或类油物质的一个例子。另一个可能的机制是内源性脂类退化继发于过敏反应或创伤。
目前,自体脂肪转移后脂肪肉芽肿的文献复习无一例发生在臀区。
尽管类固醇和手术切除似乎是有希望的选择。但是手术切除并不总是可行的,这取决于病变的位置和范围。

自体脂肪隆臀PK假体隆臀,该选哪一个?
臀部较初是为了适应人类直立行走而设计的,然后凸起,但现在它们有了美学意义;臀部是女人追求更高层次的美,女性化的部分,比胸部更性感的部分。
在生活中,我们经常注意到许多女孩,虽然身材很好,但似乎总是缺少什么。与西方女性相比,臀部干瘪是一大缺点,缺乏性感和性感。西方女性深信,桃形臀部是青春和美丽的象征,前凸后仰的身材才是真正的性感女神。

如果“桃屁股”女神在“枯萎的女神”面前经过,尽管后者肯定不愿意承认,但很难说没有被压迫的自卑感。因此,只有“筷子腿”和“大胸脯”是不够的,很难称之为“性感”。
然而,与脂肪隆臀相比,假体隆臀确实有更多的并发症。伤口裂开是人工髋关节置换常见的并发症。Sinno等人汇编了2375例用硅酮假体进行髋关节增大的报告病例,结果显示伤口裂开的发生率为9.6%。第二种是浆膜瘤,在筋膜下和肌内假体植入的情况下,假体隆臀后形成局部浆膜瘤是常见的。少量假体周围积液通常难以发现。
一旦在表面观察到皮肤隆起,浆膜体积通常GET150毫升以上。浆膜瘤的形成与假体类型、大小、植入水平和质地有关。髋关节置换术后感染的发生率在1%到7%之间。一旦手术区的感染被确认,就有必要探查假体周围腔并尽快取出假体。

假体周围的感染伤口可以在取出假体后直接缝合。如果组织变得化脓性或坏死,需要进一步缓解。还有诸如假体移位、包膜挛缩和坐骨神经感觉异常等并发症。
与人工髋关节置换和自体脂肪髋关节置换相比,它更自然、更真实、更舒适,且无异物,无各种长期并发症。在2016年,美国整形外科医生协会的ASAPS统计数据显示,92%的髋关节强化是通过自体脂肪落实的,但与人工髋关节强化相比,只有8%。
三元整形网温馨提示:未满18周岁的青少年不宜做整形手术!
以上关于【惊恐|自体脂肪移植隆臀,屁股烂了?】的内容只是一个大概,想了解更多整形知识、价格信息,可以点击 【在线咨询】一对一沟通


