昆明医科大学附属口腔医院黎明牙齿矫正果分享
发布日期:
2018-01-04 18:30:14
更新日期:
2018-01-04 18:30:14
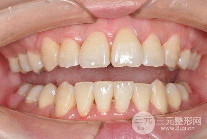
牙齿矫正时间真的太漫长了,在15年做的牙齿矫正,当时还是找的黎主任做的面诊和整个较真过程,一直以来牙齿很不整齐,关键是还有凸嘴的困扰,在面诊之后才知道原来是上下牙列拥挤、上下颌牙弓狭窄、双颌前突,做牙齿矫正是在所难免的了。


对一次缓解拔了四颗智齿,太专业的缓解矫正过程我也说不上来,只知道为了减轻牙齿之间的拥挤程度,不得不拔牙,其实我的凸嘴不算特别严重,在拔牙之后做矫正固定就可以了,但是既然选择了做整形就要做到很好的果,所以在医生的专业保障下做了牙齿正畸,开始了我的漫长牙套之路。

在做牙齿正畸这段时间里,一直都坚持饮食清淡和清洁工作,不能过度咀嚼,所以在着两年多的坚持下还是有很明X的改良的。


矫正期间没个一段时间就要回医院做复查和更换牙套,好在医生的技术比较好,牙齿矫正比较争气,现在想过很满意,不仅没有凸嘴,牙齿也很整齐,现在已经取了牙套之后可以随意吃吃喝喝了,这两天没有白坚持。


